Promotional price valid on web orders only. Your contract pricing may differ. Interested in signing up for a dedicated account number?
Learn More
Learn More
Invitrogen™ DEFA1 Monoclonal Antibody (2D2)

Mouse Monoclonal Antibody
Supplier: Invitrogen™ MA534894
Description
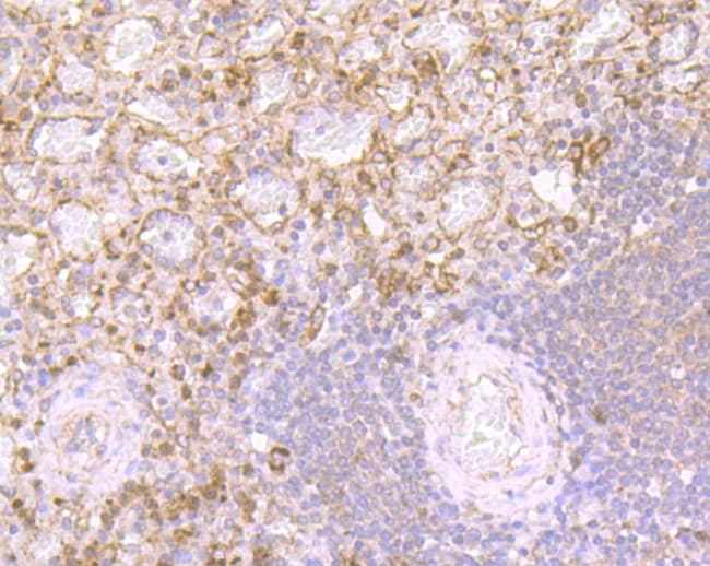
Positive Control: Rat spleen tissue, human spleen tissue.
Defensins are a family of microbicidal and cytotoxic peptides thought to be involved in host defense. They are abundant in the granules of neutrophils and also found in the epithelia of mucosal surfaces such as those of the intestine, respiratory tract, urinary tract, and vagina. Members of the defensin family are highly similar in protein sequence and distinguished by a conserved cysteine motif. The protein encoded by this gene, defensin, alpha 1, is found in the microbicidal granules of neutrophils and likely plays a role in phagocyte-mediated host defense. Several alpha defensin genes are clustered on chromosome 8. This gene differs from defensin, alpha 3 by only one amino acid. This gene and the gene encoding defensin, alpha 3 are both subject to copy number variation.
Specifications
| DEFA1 | |
| Monoclonal | |
| 2 mg/mL | |
| PBS with 0.2% BSA, 50% glycerol and 0.05% sodium azide; pH 7.4 | |
| P59665 | |
| DEFA1 | |
| Synthetic peptide within Human HNP-1 aa 1-50. | |
| 100 μL | |
| Primary | |
| Human | |
| Antibody | |
| IgG1 |
| Immunohistochemistry (Paraffin), Western Blot | |
| 2D2 | |
| Unconjugated | |
| DEFA1 | |
| alpha-defensin 1; Cryptdin-1; DEF1; Defa1; DEFA1B; DEFA2; Defcr; Defcr1; defensin alpha 1; defensin related cryptdin peptide 1; defensin, alpha 1; defensin, alpha 1, myeloid-related sequence; defensin, alpha 2; defensin-1; defensin-related cryptdin peptide; HNP-1; HNP-2; HP 1-56; HP1; HP-1; HP-2; MRS; myeloid-related sequence; neutrophil defensin 1; Neutrophil defensin 2 | |
| Mouse | |
| Protein G | |
| RUO | |
| 1667 | |
| -20°C, Avoid Freeze/Thaw Cycles, store in dark | |
| Liquid |
Product Content Correction
Your input is important to us. Please complete this form to provide feedback related to the content on this product.
Product Title
Spot an opportunity for improvement?Share a Content Correction