Promotional price valid on web orders only. Your contract pricing may differ. Interested in signing up for a dedicated account number?
Learn More
Learn More
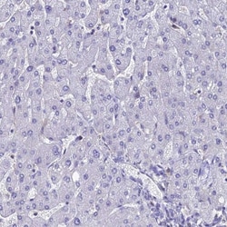
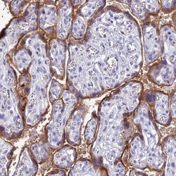
KGF/FGF-7 Antibody, Novus Biologicals™

Rabbit Polyclonal Antibody
Supplier: Novus Biologicals NBP191898
Description
KGF/FGF-7 Polyclonal specifically detects KGF/FGF-7 in Human samples. It is validated for Immunohistochemistry, Immunocytochemistry/Immunofluorescence, Immunohistochemistry-Paraffin.Specifications
| KGF/FGF-7 | |
| Polyclonal | |
| Immunohistochemistry 1:50 - 1:200, Immunocytochemistry/Immunofluorescence 1-4 ug/ml, Immunohistochemistry-Paraffin 1:50 - 1:200 | |
| FGF-7, fibroblast growth factor 7HBGF-7, Heparin-binding growth factor 7, keratinocyte growth factor, KGFfibroblast growth factor 7 (keratinocyte growth factor) | |
| Rabbit | |
| Affinity Purified | |
| RUO | |
| Primary | |
| Specificity of antibody verified on a Protein Array containing target protein plus 383 other non-specific proteins. | |
| Store at 4C short term. Aliquot and store at -20C long term. Avoid freeze-thaw cycles. |
| Immunohistochemistry, Immunocytochemistry, Immunofluorescence, Immunohistochemistry (Paraffin) | |
| Unconjugated | |
| PBS (pH 7.2) and 40% Glycerol with 0.02% Sodium Azide | |
| FGF7 | |
| This antibody was developed against Recombinant Protein corresponding to amino acids:QKGIPVRGKKTKKEQKTAHFLPMAIT | |
| 0.1 mL | |
| Angiogenesis, Cell Cycle and Replication, Stem Cell Markers | |
| 2252 | |
| Human | |
| IgG |
Product Content Correction
Your input is important to us. Please complete this form to provide feedback related to the content on this product.
Product Title
For Research Use Only
Spot an opportunity for improvement?Share a Content Correction