Promotional price valid on web orders only. Your contract pricing may differ. Interested in signing up for a dedicated account number?
Learn More

Invitrogen™ Mouse IgG3 Isotype Control (B10), eBioscience™

Mouse Monoclonal Isotype Control

Supplier:  Invitrogen™ 14474282

Encompass_Preferred

Catalog No. 50-130-55


Only null left
Add to Cart

Description

Description

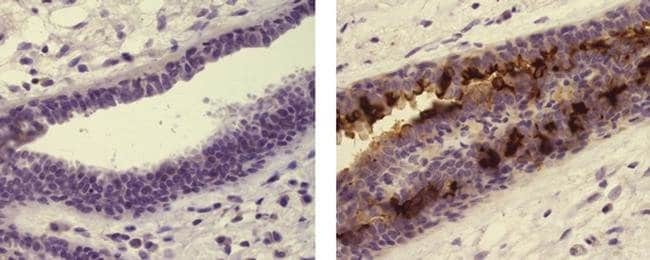
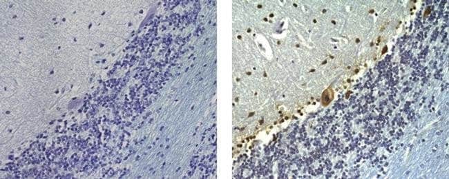
Description: The mouse IgG3 lambda is useful as an isotype control immunoglobulin. Applications Reported: This mouse IgG3 isotype control has been reported for use in immunocytochemistry, immunohistochemistry, and flow cytometric analysis. Applications Tested: This mouse IgG3 isotype control has been tested by flow cytometric analysis of normal human peripheral blood cells. Use the isotype control at the same concentration as the experimental antibody. Purity: Greater than 90%, as determined by SDS-PAGE. Aggregation: Less than 10%, as determined by HPLC. Filtration: 0.2 μm post-manufacturing filtered.

Mouse IgG3 is a subtype of immunoglobulin G antibody that is produced by B cells in response to an antigen. It is the least abundant IgG subtype in the serum and plays a crucial role in the adaptive immune response. Mouse IgG3 is composed of two heavy chains and two light chains, and it is involved in opsonization, complement activation, and antibody-dependent cell-mediated cytotoxicity. It is also involved in the regulation of immune responses, including the activation of T cells and the inhibition of B cell activation. Mouse IgG3 is less commonly used in research and diagnostic applications compared to other IgG subtypes, but it is still used in some applications such as ELISA and immunohistochemistry.
TRUSTED_SUSTAINABILITY
Specifications

Specifications

Mouse IgG3
Monoclonal
0.5 mg/mL
PBS with 0.09% sodium azide; pH 7.2
Mouse
100 μg
Isotype Control (Primary)
4°C
Liquid
Control, Flow Cytometry, Immunohistochemistry (Paraffin), Immunocytochemistry, Immunohistochemistry
B10
Unconjugated
IgG3; Ighg3; Immunoglobulin G; Immunoglobulin G3; Immunoglobulin heavy constant gamma 3; ImmunoglobulinG; ImmunoglobulinG3
Affinity chromatography
RUO
Not Applicable
Isotype Control
IgG3 λ
Product Suggestions

Product Suggestions

Videos
SDS
Documents

Documents

Product Certifications
Promotions

Promotions

Product Content Correction

The Fisher Scientific Encompass Program offers items which are not part of our distribution portfolio. These products typically do not have pictures or detailed descriptions. However, we are committed to improving your shopping experience. Please use the form below to provide feedback related to the content on this product.

Product Title

By clicking Submit, you acknowledge that you may be contacted by Fisher Scientific in regards to the feedback you have provided in this form. We will not share your information for any other purposes. All contact information provided shall also be maintained in accordance with our Privacy Policy.

Your feedback has been submitted: Thank you for helping us improve our website.