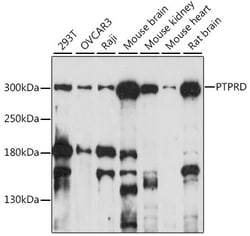
ABclonal Technology PTPRD Rabbit pAb
The protein encoded by this gene is a member of the protein tyrosine phosphatase (PTP) family. PTPs are known to be signaling molecules that regulate a variety of cellular processes including cell growth, differentiation, mitotic cycle, and oncogenic transformation. This PTP contains an extracellular region, a single transmembrane segment and two tandem intracytoplasmic catalytic domains, and thus represents a receptor-type PTP. The extracellular region of this protein is composed of three Ig-like and eight fibronectin type III-like domains. Studies of the similar genes in chicken and fly suggest the role of this PTP is in promoting neurite growth, and regulating neurons axon guidance. Multiple alternatively spliced transcript variants of this gene have been reported. A related pseudogene has been identified on chromosome 5.