Promotional price valid on web orders only. Your contract pricing may differ. Interested in signing up for a dedicated account number?
Learn More

Leica Biosystems 1ml NCL-MHCs

Supplier:  Leica Biosystems MHCS

Encompass

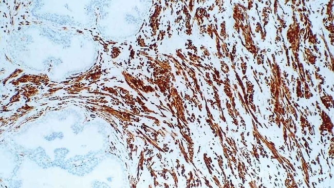
Antigen Background Myosin is a contractile muscle specific protein composed of two heavy and four light chains. The myosin heavy chain has many isoforms which are specific for different muscles or fiber types, some of which are developmentally regulated. The range of myosin heavy chain antibodies may prove useful for investigating development of intrafusal and extrafusal muscle fibers and the course of muscle fiber regeneration. At the ultrastructural level, antibodies can reveal architectural details of the myofilament as well as the cytoplasmic and membrane sites of new myosin integration. Disclaimer Myosin Heavy Chain Antibodies are recommended for the detection of specific antigens of interest in normal and neoplastic tissues, as an adjunct to conventional histopathology using non-immunologic histochemical stains.

Catalog No. 50-255-2209


May include imposed supplier surcharges.
Only null left
Add to Cart
This item is not returnable. View return policy

Product Title
Select an issue

By clicking Submit, you acknowledge that you may be contacted by Fisher Scientific in regards to the feedback you have provided in this form. We will not share your information for any other purposes. All contact information provided shall also be maintained in accordance with our Privacy Policy.