Promotional price valid on web orders only. Your contract pricing may differ. Interested in signing up for a dedicated account number?
Learn More

Leica Biosystems 7ml SMA Bond RTU Primary

Supplier:  Leica Biosystems PA0943U

Encompass

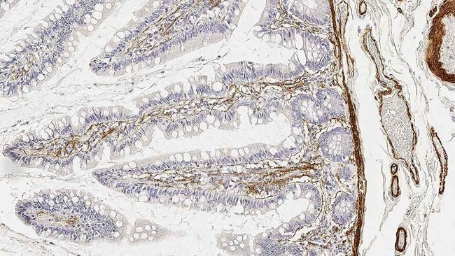
Antigen BackgroundCytoplasmic actins are part of the microfilament system of cytoskeletal proteins. Smooth muscle actin is found in vascular walls, intestinal muscularis mucosae and muscularis propria and in the stroma of various tissues.Product Specific InformationEnzyme pretreatment may enhance staining in some cases.DisclaimerSMA (Alpha Smooth Muscle Actin) is recommended for the detection of specific antigens of interest in normal and neoplastic tissues, as an adjunct to conventional histopathology using non-immunologic histochemical stains.

Catalog No. 50-255-2016


May include imposed supplier surcharges.
Only null left
Add to Cart
This item is not returnable. View return policy

Product Title
Select an issue

By clicking Submit, you acknowledge that you may be contacted by Fisher Scientific in regards to the feedback you have provided in this form. We will not share your information for any other purposes. All contact information provided shall also be maintained in accordance with our Privacy Policy.