Learn More
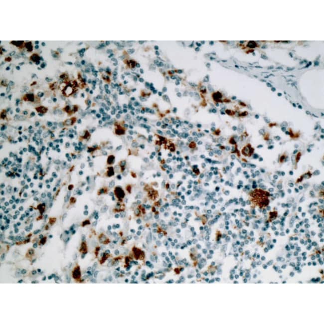
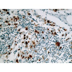
Biogenex Laboratories Anti-CD68, Clone KP1

Supplier: Biogenex Laboratories MU4165UC
CD68 antigen is a 110-kD type 1 membrane glycoprotein, appears in endosomes or lysosomes (long variant) and to a lesser extent on the cell surface (short variant). It is highly expressed by blood monocytes and tissue macrophages. It is also reported to be expressed in immature myeloid cells, lymphoma, many tumor cell lines, and some epithelial tumors, although the labeling is usually less intense than in macrophages. Clone KP1 reacts strongly with a fixative-resistant epitope of CD68 protein that is expressed by virtually all macrophages of the human body. The CD68 antibody can be used as part of a panel in the evaluation of poorly differentiated neoplasms in cytological materials.
By clicking Submit, you acknowledge that you may be contacted by Fisher Scientific in regards to the feedback you have provided in this form. We will not share your information for any other purposes. All contact information provided shall also be maintained in accordance with our Privacy Policy.