Promotional price valid on web orders only. Your contract pricing may differ. Interested in signing up for a dedicated account number?
Learn More

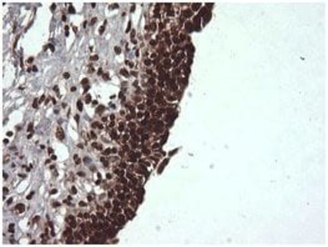
Abcam Mouse monoclonal [OTI1E1] to Von Hippel Lindau/VHL

Supplier:  Abcam AB140989100UL

Encompass_Preferred

Mouse monoclonal [OTI1E1] to Von Hippel Lindau/VHL

The product is subject to the following: Abcam Restricted Use Statement

Catalog No. NC1722326


May include imposed supplier surcharges.
Only null left
Add to Cart

Product Title
Select an issue

By clicking Submit, you acknowledge that you may be contacted by Fisher Scientific in regards to the feedback you have provided in this form. We will not share your information for any other purposes. All contact information provided shall also be maintained in accordance with our Privacy Policy.