Learn More
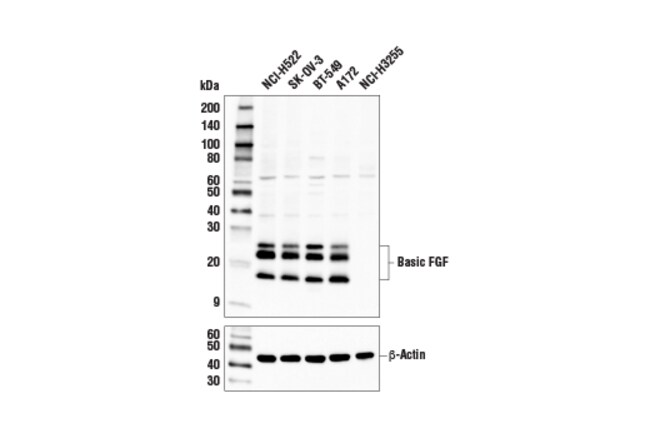
Cell Signaling Technology Basic FGF Antibody 100 ul

Supplier: Cell Signaling Technology 20102S
By clicking Submit, you acknowledge that you may be contacted by Fisher Scientific in regards to the feedback you have provided in this form. We will not share your information for any other purposes. All contact information provided shall also be maintained in accordance with our Privacy Policy.