Learn More
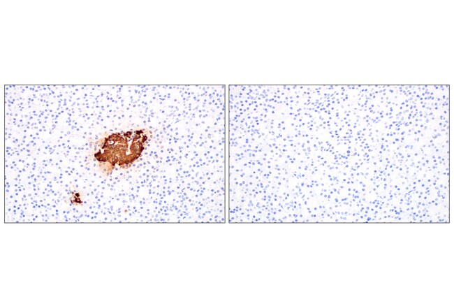
Cell Signaling Technology C-Peptide E7U7F XPR Rabbit

Supplier: Cell Signaling Technology 38069T
C-Peptide (E7U7F) XP(R) Rabbit mAb 20 ul
By clicking Submit, you acknowledge that you may be contacted by Fisher Scientific in regards to the feedback you have provided in this form. We will not share your information for any other purposes. All contact information provided shall also be maintained in accordance with our Privacy Policy.