Learn More
Genetex Inc Helicobacter pylori Catalase Monoclonal Antibody [MSVA-466M] HistoMAX™ (GTX04479) GeneTex - IHC-Optimized Antibody.

Supplier: Genetex Inc GTX04479
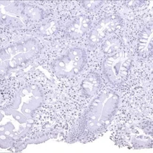
The Helicobacter pylori Catalase antibody [MSVA-466M] HistoMAX™ (GTX04479) is a Mouse Monoclonal antibody in the GeneTex HistoMAX portfolio. The antibody is extensively evaluated for IHC-P using formalin-fixed human normal tissues (more than 70 different sections) and cancer tissue arrays to guarantee specificity and best-in-class performance. Information regarding both manual and autostainer staining protocols are available.Figure Legend: IHC-P analysis of human stomach tissue using GTX04479 Helicobacter pylori Catalase antibody [MSVA-466M] HistoMAX. Complete absence of helicobacter pylori in a stomach biopsy.
By clicking Submit, you acknowledge that you may be contacted by Fisher Scientific in regards to the feedback you have provided in this form. We will not share your information for any other purposes. All contact information provided shall also be maintained in accordance with our Privacy Policy.