Learn More
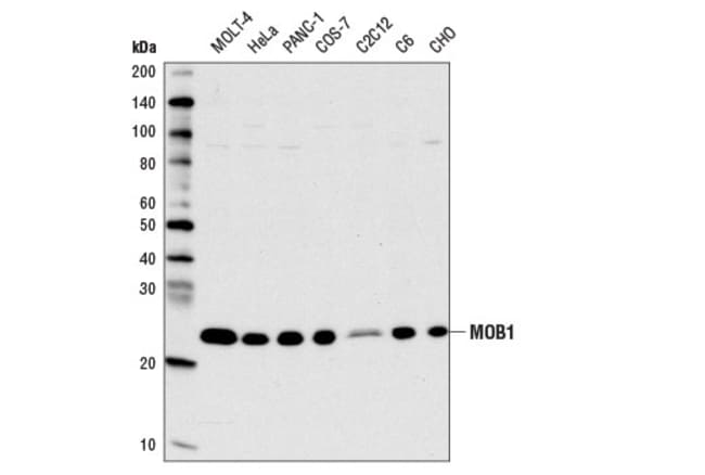
Cell Signaling Technology MOB1 E1N9D Rabbit mAb 100 ul

Supplier: Cell Signaling Technology 13730S
MOB1 (E1N9D) Rabbit mAb 100 ul
By clicking Submit, you acknowledge that you may be contacted by Fisher Scientific in regards to the feedback you have provided in this form. We will not share your information for any other purposes. All contact information provided shall also be maintained in accordance with our Privacy Policy.