Promotional price valid on web orders only. Your contract pricing may differ. Interested in signing up for a dedicated account number?
Learn More

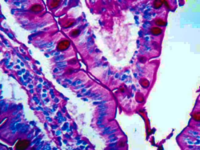
Diagnostic Biosystems PAS PAS

Supplier:  Diagnostic Biosystems KT027

Encompass_Preferred

The Periodic Acid Schiff (PAS) Stain Kit is intended for use in histological demonstration of lymphocytes and mucopolysaccharides. The staining pattern of the lymphocytes are helpful in making therapeutic decisions in established cases of lymphocytic leukemia. The PAS reaction in tissue sections is useful for the demonstration of mucopolysaccharides. PAS staining may also be used for the demonstration of fungal organisms in tissue sections.

Catalog No. 50-240-7501


May include imposed supplier surcharges.
Only null left
Add to Cart

Product Title
Select an issue

By clicking Submit, you acknowledge that you may be contacted by Fisher Scientific in regards to the feedback you have provided in this form. We will not share your information for any other purposes. All contact information provided shall also be maintained in accordance with our Privacy Policy.