Promotional price valid on web orders only. Your contract pricing may differ. Interested in signing up for a dedicated account number?
Learn More

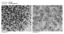
ATCC ATCC PDM-107 (HCM-BROD-0009-C25) patient-derived pancreatic tumor organoid model, cryopreserved vial for research use

Supplier:  ATCC HCMBROD0009C25

Encompass

PDM-107 (HCM-BROD-0009-C25) is a patient-derived organoid model isolated from metastatic pancreatic adenocarcinoma. Supplied as cryopreserved organoid cultures, it is intended for basic research and pharmacological screening, with handling and culture recommendations provided by the supplier.

  • Derived from metastatic pancreatic adenocarcinoma tissue.
  • Cryopreserved single-use vial containing ≥ 1.0 x 10^6 viable cells in 1.0 mL.
  • Intended for basic research and compound screening applications.
  • Store at temperatures below -130°C (liquid nitrogen vapor) until use.
  • Culture in 3D extracellular matrix at 37°C in 95% air, 5% CO2.
  • Recommended to use basement membrane matrix or Matrigel for ECM support.
  • Follow recommended organoid media formulation and handling protocols for initiation and subculture.
  • Quality control: tested negative for bacterial, fungal, mycoplasma, and selected viral contaminants.

Catalog No. NC3360312


May include imposed supplier surcharges.
Only null left
Add to Cart

Product Title
Select an issue

By clicking Submit, you acknowledge that you may be contacted by Fisher Scientific in regards to the feedback you have provided in this form. We will not share your information for any other purposes. All contact information provided shall also be maintained in accordance with our Privacy Policy.