Learn More
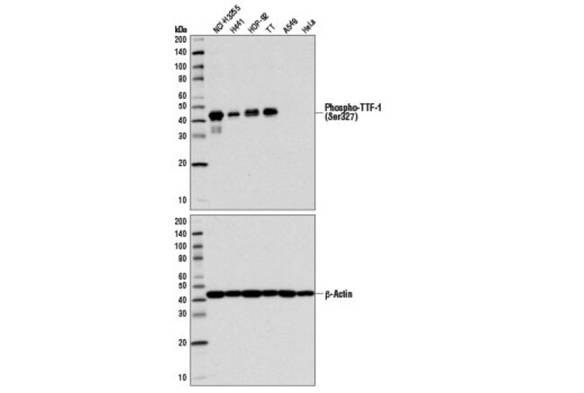
Cell Signaling Technology Phospho-TTF-1 Ser327 Antibod

Supplier: Cell Signaling Technology 13608S
Phospho-TTF-1 (Ser327) Antibody 100 ul
By clicking Submit, you acknowledge that you may be contacted by Fisher Scientific in regards to the feedback you have provided in this form. We will not share your information for any other purposes. All contact information provided shall also be maintained in accordance with our Privacy Policy.