Promotional price valid on web orders only. Your contract pricing may differ. Interested in signing up for a dedicated account number?
Learn More

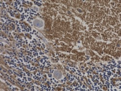
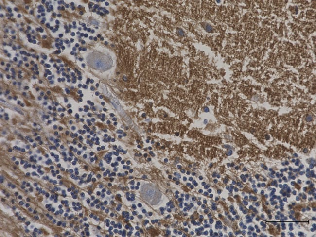
Biolegend Purified anti-SNAP-25

Supplier:  Biolegend 836303

Encompass_Preferred

Purified anti-SNAP-25 [SMI 81]; Isotype: Mouse IgG1, κ; Reactivity: Human, Mouse, Rat; Apps: IHC-P, WB, EM, FC, ICC, IP; Size: 25 ug

Catalog No. 50-207-4354


May include imposed supplier surcharges.
Only null left
Add to Cart

Product Title
Select an issue

By clicking Submit, you acknowledge that you may be contacted by Fisher Scientific in regards to the feedback you have provided in this form. We will not share your information for any other purposes. All contact information provided shall also be maintained in accordance with our Privacy Policy.