Choose the brand aligned with your industry so we can best serve your needs.
For researchers, scientists, and technical professionals: Your one-stop shop for the complete range of laboratory, production, and safety products and services.
Small and Specialty Supplier Partner Small and/or specialty supplier based on Federal laws and SBA requirements. Learn More
The four human glycoprotein hormones chorionic gonadotropin (CG) luteinizing hormone (LH) follicle stimulating hormone (FSH) and thyroid stimulating hormone (TSH) are dimers consisting of alpha and beta subunits that are associated noncovalently The alpha subunits of these hormones are identical however their beta chains are unique and confer biological specificity The protein encoded by this gene is the alpha subunit and belongs to the glycoprotein hormones alpha chain family Two transcript variants encoding different isoforms have been found for this gene
Encompass Procurement Services Non-distribution item offered as a customer accommodation; additional freight charges may apply. Learn More
Small and Specialty Supplier Partner Small and/or specialty supplier based on Federal laws and SBA requirements. Learn More
The Accutest TSH test screens for elevated thyroid stimulating hormone (TSH) in whole blood. Elevated TSH is the first clinical indicator of hypothyroidism. This easy to use test assists the physician in differentiating between hypothyroidism and other conditions with similar symptoms.
Encompass Procurement Services Non-distribution item offered as a customer accommodation; additional freight charges may apply. Learn More
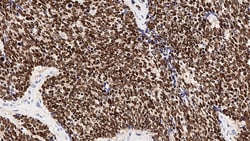
Monoclonal antibody directed against Thyroid Transcription Factor-1 (TTF-1), provided for detection of TTF-1 expression in normal and neoplastic tissues by immunohistochemistry. Available in liquid concentrate and ready-to-use formats for manual or automated staining workflows.
Target: Thyroid Transcription Factor-1 (TTF-1).
Clone: SPT24.
Application: Immunohistochemistry (IHC) for detection in normal and neoplastic tissues.
Formats: Liquid concentrate and BOND ready-to-use (RTU).
Pack sizes: Small volume and larger reagent formats available, for example 1 ml and 7 ml.
Use case: Adjunct to conventional histopathology for antigen localization.
Encompass Procurement Services Non-distribution item offered as a customer accommodation; additional freight charges may apply. Learn More