Learn More
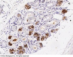
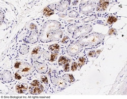
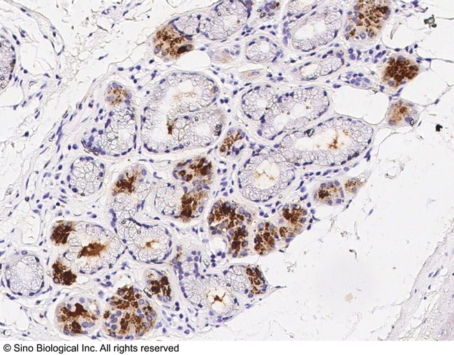
Sino Biological GCDFP-15 Antibody, Rabbit PAb, Antigen Affinity Purified 100uL
Supplier: Sino Biological 100314T08100

Produced in rabbits immunized with A synthetic peptide corresponding to the N-terminus of the human GCDFP-15 , and purified by antigen affinity chromatography.
The Fisher Scientific Encompass Program offers items which are not part of our distribution portfolio. These products typically do not have pictures or detailed descriptions. However, we are committed to improving your shopping experience. Please use the form below to provide feedback related to the content on this product.