Promotional price valid on web orders only. Your contract pricing may differ. Interested in signing up for a dedicated account number?
Learn More

Leica Biosystems 7ml CD45RO Bond RTU Primary

Supplier:  Leica Biosystems PA0146

Encompass

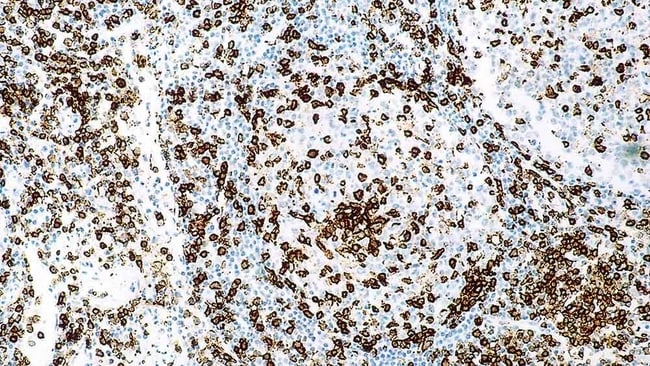
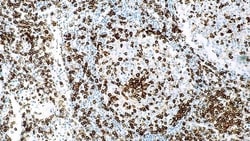
Antigen BackgroundThe CD45RO molecule, a 18 kD isoform of CD45, is reported to be expressed on 48% of peripheral blood T lymphocytes, 37% of CD4 positive lymphocytes, 8% of thymocytes and on the majority of T cell malignancies. Monocytes and granulocytes show surface expression of the antigen whereas tissue macrophages exhibit cytoplasmic expression.DisclaimerCD45RO is recommended for the detection of specific antigens of interest in normal and neoplastic tissues, as an adjunct to conventional histopathology using non-immunologic histochemical stains.

Catalog No. 50-255-2148


May include imposed supplier surcharges.
Add to Cart
This item is not returnable. View return policy

Product Title
Select an issue

By clicking Submit, you acknowledge that you may be contacted by Fisher Scientific in regards to the feedback you have provided in this form. We will not share your information for any other purposes. All contact information provided shall also be maintained in accordance with our Privacy Policy.