Learn More
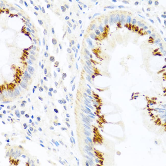
ABclonal Technology FAM3B Rabbit pAb

Supplier: ABclonal Technology A10821000UL
Involved in insulin secretion. Located in extracellular exosome.
By clicking Submit, you acknowledge that you may be contacted by Fisher Scientific in regards to the feedback you have provided in this form. We will not share your information for any other purposes. All contact information provided shall also be maintained in accordance with our Privacy Policy.