Promotional price valid on web orders only. Your contract pricing may differ. Interested in signing up for a dedicated account number?
Learn More

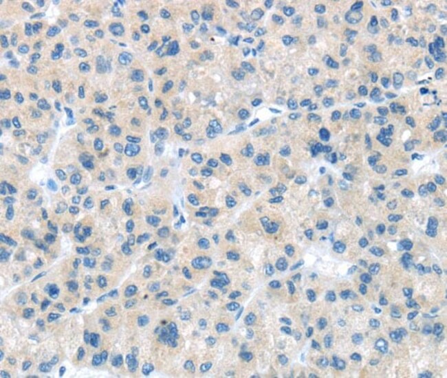
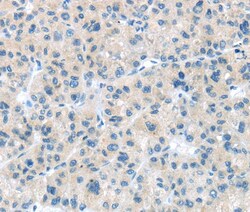
Abcam Rabbit polyclonal to CD63 - Late Endosome Marker

Supplier:  Abcam AB216130100UL

Encompass_Preferred

Rabbit polyclonal to CD63 - Late Endosome Marker

The product is subject to the following: Abcam Restricted Use Statement

Catalog No. NC1793523


May include imposed supplier surcharges.
Only null left
Add to Cart

Product Title
Select an issue

By clicking Submit, you acknowledge that you may be contacted by Fisher Scientific in regards to the feedback you have provided in this form. We will not share your information for any other purposes. All contact information provided shall also be maintained in accordance with our Privacy Policy.