Promotional price valid on web orders only. Your contract pricing may differ. Interested in signing up for a dedicated account number?
Learn More

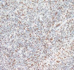
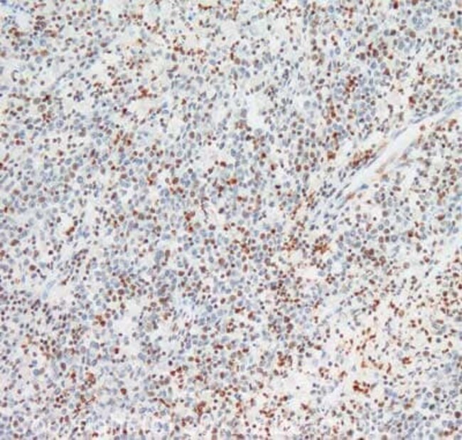
Abcam Rabbit polyclonal to Chk2 (phospho T68)

Supplier:  Abcam AB85743100UG

Encompass_Preferred

Rabbit polyclonal to Chk2 (phospho T68)

The product is subject to the following: Abcam Restricted Use Statement

Catalog No. NC1897478


May include imposed supplier surcharges.
Only null left
Add to Cart

Product Title
Select an issue

By clicking Submit, you acknowledge that you may be contacted by Fisher Scientific in regards to the feedback you have provided in this form. We will not share your information for any other purposes. All contact information provided shall also be maintained in accordance with our Privacy Policy.