Learn More
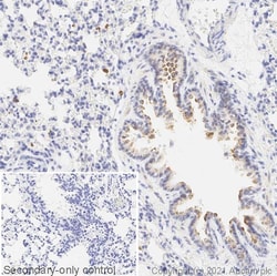
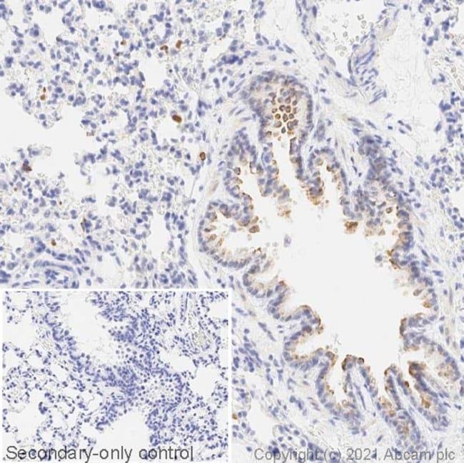
Abcam Rabbit polyclonal to iNOS
Supplier: Abcam AB15323500UL
 
            Rabbit polyclonal to iNOS
The product is subject to the following:  Abcam Restricted Use Statement
The Fisher Scientific Encompass Program offers items which are not part of our distribution portfolio. These products typically do not have pictures or detailed descriptions. However, we are committed to improving your shopping experience. Please use the form below to provide feedback related to the content on this product.
