Learn More
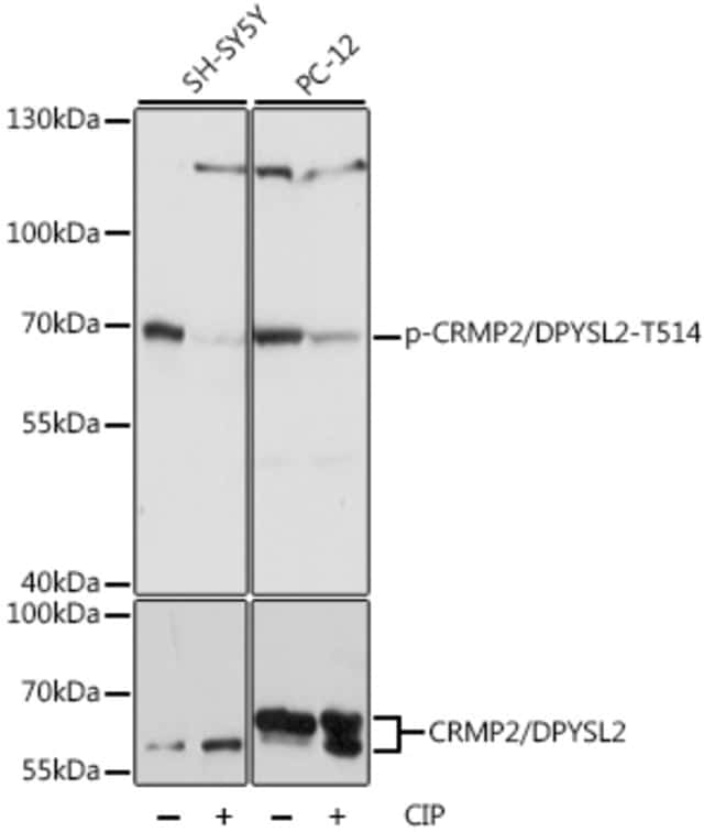
ABclonal Technology Phospho-CRMP2/DPYSL2-T514 Rabbit pAb

Supplier: ABclonal Technology AP08211000UL
This gene encodes a member of the collapsin response mediator protein family. Collapsin response mediator proteins form homo- and hetero-tetramers and facilitate neuron guidance, growth and polarity. The encoded protein promotes microtubule assembly and is required for Sema3A-mediated growth cone collapse, and also plays a role in synaptic signaling through interactions with calcium channels. This gene has been implicated in multiple neurological disorders, and hyperphosphorylation of the encoded protein may play a key role in the development of Alzheimers disease. Alternatively spliced transcript variants encoding multiple isoforms have been observed for this gene.
By clicking Submit, you acknowledge that you may be contacted by Fisher Scientific in regards to the feedback you have provided in this form. We will not share your information for any other purposes. All contact information provided shall also be maintained in accordance with our Privacy Policy.