Learn More
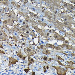
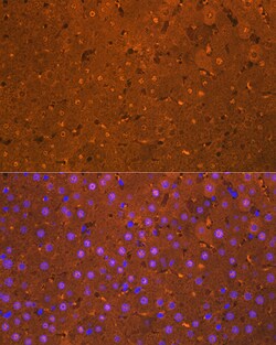
ABclonal Technology Arginase 1 (ARG1) Rabbit mAb 100 L

Supplier: ABclonal Technology A4923
Immunogen: A synthetic peptide corresponding to a sequence within amino acids 1-100 of human Arginase 1 (ARG1) (P05089).•Host Species: Rabbit•Isotype: IgG•Species Reactivity:Human,Mouse,Rat•Validated Applications:WB,IHC,IF•Swiss Prot: P05089•Gene ID:383•Purification Method:Affinity purification•Storage: Store at -20℃. Avoid freeze / thaw cycles.|Buffer: PBS with 0.02% sodium azide,0.05% BSA,50% glycerol,pH7.3.This product is available in 20UL, 50UL, 100UL, and 200UL. Please contact customer service for pricing and availability on alternative sizes.
By clicking Submit, you acknowledge that you may be contacted by Fisher Scientific in regards to the feedback you have provided in this form. We will not share your information for any other purposes. All contact information provided shall also be maintained in accordance with our Privacy Policy.