Promotional price valid on web orders only. Your contract pricing may differ. Interested in signing up for a dedicated account number?
Learn More

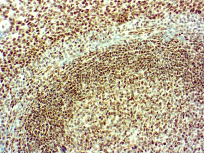
Diagnostic Biosystems ATRX ATRX (D-5)

Supplier:  Diagnostic Biosystems MOB600

Encompass_Preferred

ATRX is a member of the Snf2 family of helicase/ATPases, which contribute to the remodeling of the nucelosome structure in an ATPdependent manner and facilitate the initiation of transcription and replication. Central nervous system (CNS): loss of ATRX expression in 45% of anaplastic astrocytomas, 27% of anaplastic oligoastrocytomas, 10% of anaplastic oligodendrogliomas. Genetic signatures, including ATRX, may refine classification of gliomas

Catalog No. 50-240-7363


May include imposed supplier surcharges.
Only null left
Add to Cart

Product Title
Select an issue

By clicking Submit, you acknowledge that you may be contacted by Fisher Scientific in regards to the feedback you have provided in this form. We will not share your information for any other purposes. All contact information provided shall also be maintained in accordance with our Privacy Policy.