Learn More
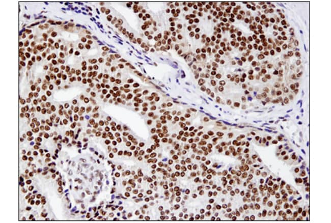
Cell Signaling Technology BRM D9E8B XPR Rabbit mAb 2

Supplier: Cell Signaling Technology 11966T
BRM (D9E8B) XP(R) Rabbit mAb 20 ul
By clicking Submit, you acknowledge that you may be contacted by Fisher Scientific in regards to the feedback you have provided in this form. We will not share your information for any other purposes. All contact information provided shall also be maintained in accordance with our Privacy Policy.