Promotional price valid on web orders only. Your contract pricing may differ. Interested in signing up for a dedicated account number?
Learn More

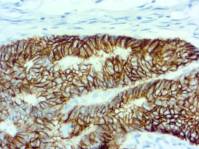
Diagnostic Biosystems CADHERIN 17 Cadherin 17

Supplier:  Diagnostic Biosystems MOB604R

Encompass_Preferred

Cadherin 17 is exclusively expressed in the epithelial cells of embryonic and adult small intestine, colon, liver, and pancreatic ducts. It has been reported to be frequently expressed in adenocarcinomas arising in the gastrointestinal tract and pancreas. Owing to its restricted expression in these groups of tumors, cadherin 17 has proven to be a useful immunohistochemical marker for assisting in distinguishing these neoplasms from other malignancies with which they may be confused

Catalog No. 50-240-7388


May include imposed supplier surcharges.
Only null left
Add to Cart

Product Title
Select an issue

By clicking Submit, you acknowledge that you may be contacted by Fisher Scientific in regards to the feedback you have provided in this form. We will not share your information for any other purposes. All contact information provided shall also be maintained in accordance with our Privacy Policy.