Learn More
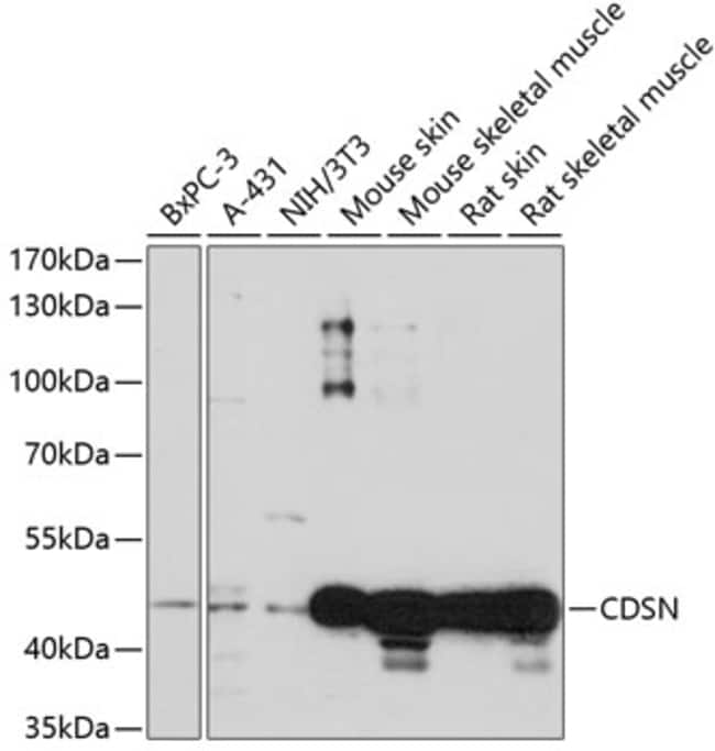
ABclonal Technology CDSN Rabbit pAb

Supplier: ABclonal Technology A14602500UL
This gene encodes a protein found in corneodesmosomes, which localize to human epidermis and other cornified squamous epithelia. The encoded protein undergoes a series of cleavages during corneocyte maturation. This gene is highly polymorphic in human populations, and variation has been associated with skin diseases such as psoriasis, hypotrichosis and peeling skin syndrome. The gene is located in the major histocompatibility complex (MHC) class I region on chromosome 6.
By clicking Submit, you acknowledge that you may be contacted by Fisher Scientific in regards to the feedback you have provided in this form. We will not share your information for any other purposes. All contact information provided shall also be maintained in accordance with our Privacy Policy.