Promotional price valid on web orders only. Your contract pricing may differ. Interested in signing up for a dedicated account number?
Learn More

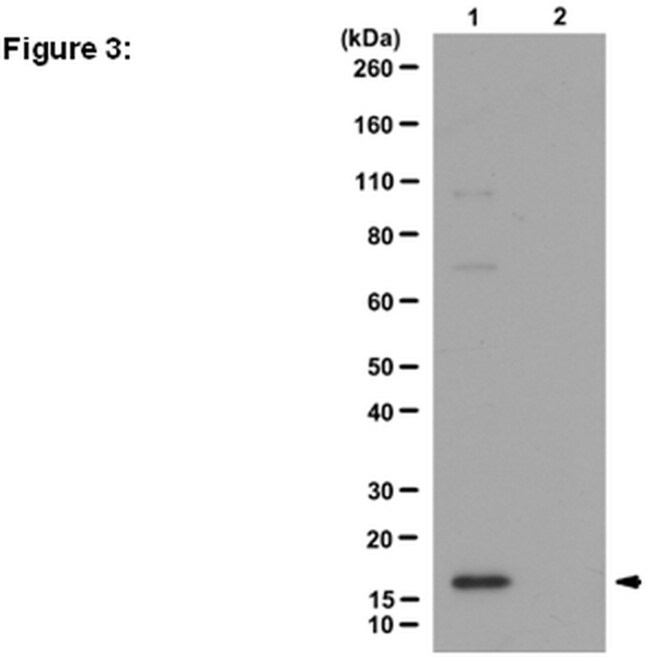
MilliporeSigma™ Upstate™ Trimethyl-Histone H3 (Lys79), Rabbbit Polyclonal, ChIP Validated Antibody and Primer Set

Catalog No. 1710130MI Shop All MilliporeSigma Products
Change view
Click to view available options
Quantity:
25 Assays
Conjugate:
Unconjugated
1 product options available for selection
Product selection table with 1 available options. Use arrow keys to navigate and Enter or Space to select.
Catalog No. Quantity Conjugate
17-101-30MI 25 Assays Unconjugated
Use arrow keys to navigate between rows. Press Enter or Space to select a product option. 1 options available.
1 options
Catalog No. 17-101-30MI Supplier MilliporeSigma™ Supplier No. 1710130

Item Discontinued This item has been discontinued by the supplier. Please to view product availability in your area.

Rabbit Polyclonal Antibody

Specifically detects Trimethyl-Histone H3 (Lys79) Clone: in Human, Vertebrate samples, and it is validated for Chromatin Immunoprecipitation, Multiplexing, Western Blotting

Histones are highly conserved proteins that serve as the structural scaffold for the organization of nuclear DNA into chromatin. The four core histones, H2A, H2B, H3, and H4, assemble into an octamer (2 molecules of each). Subsequently, 146 base pairs of DNA are wrapped around the octamer, forming a nucleosome, the basic subunit of chromatin. Histone modifications regulate DNA transcription, repair, recombination, and replication. The most commonly studied modifications are acetylation, phosphorylation, methylation, and ubiquitination. Lysine methylation occurs in three distinct states, having either one (me1), two (me2) or three (me3) methyl groups attached to the amine group of the lysine side chain. Methylation of Lysine 79 in Histone 3 acts as a marker of inactive chromatin regions. Methylation by Dot1 methylase on lysine-79 (Lys79) of Histone H3 is criticial for transcriptional silencing, and it is thought that silencing proteins such as Sir3 function by blocking Dot1 methylation.
TRUSTED_SUSTAINABILITY

Specifications

Antigen Trimethyl-Histone H3 (Lys79)
Applications Multiplex, Immunoassay, Western Blot
Classification Polyclonal
Conjugate Unconjugated
Formulation Anti-Trimethyl-Histone H3 (Lys79) (rabbit polyclonal). One vial containing 25μg of purified rabbit polyclonal in buffer containing 0.1M Tris-Glycine (pH 7.4, 150mM NaCl) with 0.05% sodium azide before the addition of 30% glycerol. Normal Rabbit IgG. One vial containing 125μg Rabbit IgG in 125μL storage buffer containing 0.05% sodium azide. Control Primers. One vial containing 75μL of 5μM of each primer specific for human GAPDH. FOR: TAC TAG CGG TTT TAC GGG CG; REV: TCG AAC AGG AGG AGC AGA GAG CGA
Gene Accession No. Q16695
Gene Symbols HIST3H3, H3FT, H3t, H3T, H3/g, H3.4, H3/t
Host Species Rabbit
Immunogen Linear Peptide corresponding to human Histone H3 methylated at Lys79.
Purification Method Affinity Purified
Quantity 25 Assays
Regulatory Status RUO
Research Discipline Epigenetics and Nuclear Function
Primary or Secondary Primary
Gene ID (Entrez) NP_003484.1
Test Specificity This antibody recognizes Histone H3 Trimethylated on Lys79.
Includes This ChIPAb+ Trimethyl-Histone H3 (Lys79) -ChIP Validated Antibody and Primer Set conveniently includes the antibody and the specific control PCR primers.
Target Species Human, Vertebrates
Content And Storage -20°C for up to 12 months from date of receipt; Upon first thaw and prior to removing the cap centrifuge the vial and gently mix the solution; Aliquot into microcentrifuge tubes and store at −20°C; Avoid repeated freeze/thaw cycles
Show More Show Less

For Research Use Only

Product Title
Select an issue

By clicking Submit, you acknowledge that you may be contacted by Fisher Scientific in regards to the feedback you have provided in this form. We will not share your information for any other purposes. All contact information provided shall also be maintained in accordance with our Privacy Policy.