Promotional price valid on web orders only. Your contract pricing may differ. Interested in signing up for a dedicated account number?
Learn More

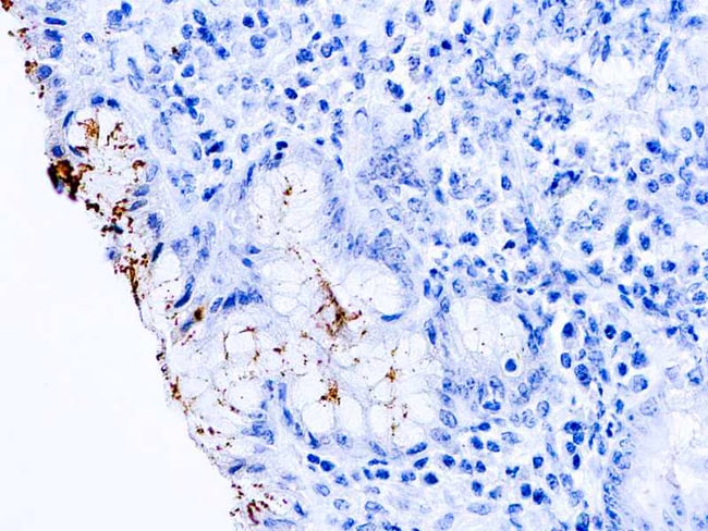
Diagnostic Biosystems HELICOBACTER PYLORI Helicobacter Pylori

Supplier:  Diagnostic Biosystems PDM559

Encompass_Preferred

This antibody reacts with the 54 kDa (flagellin) of H. pylori. The antibody stains the bacteria present on the surface of the epithelium or in the cytoplasm of the epithelial cells. H. pylori is known to cause peptic ulcer and chronic gastritis in humans.

Catalog No. 50-240-7497


May include imposed supplier surcharges.
Only null left
Add to Cart

Product Title
Select an issue

By clicking Submit, you acknowledge that you may be contacted by Fisher Scientific in regards to the feedback you have provided in this form. We will not share your information for any other purposes. All contact information provided shall also be maintained in accordance with our Privacy Policy.