Learn More
Biocare Medical, LLC Helicobacter pylori Antibody - Predilute, 6.0 ml

Supplier: Biocare Medical, LLC PM383AA
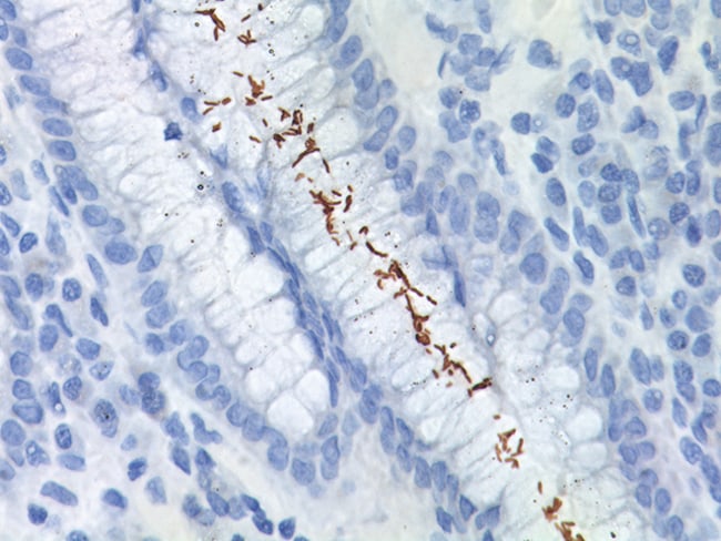
Helicobacter pylori are spiral-curved, gram-negative bacteria that is present on surface epithelium of the mucous layer of the stomach. Immunohistochemical techniques using a Helicobacter pylori antibody can distinguish it from other types of curved bacteria.There is evidence showing that these bacteria may play a significant role in peptic ulcer disease. A study has suggested that Helicobacter pylori infection is a risk factor for colorectal polyps in children. The small spiral-curved shaped bacterium can be seen clearly using a 100X oil objective under the microscope.z
The Fisher Scientific Encompass Program offers items which are not part of our distribution portfolio. These products typically do not have pictures or detailed descriptions. However, we are committed to improving your shopping experience. Please use the form below to provide feedback related to the content on this product.