Promotional price valid on web orders only. Your contract pricing may differ. Interested in signing up for a dedicated account number?
Learn More

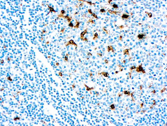
Diagnostic Biosystems LYSOZYME Lysozyme

Supplier:  Diagnostic Biosystems PDR005

Encompass_Preferred

This antibody reacts with lysozyme. It stains granulocytes, monocytes and macrophages in human tonsil, skin and colon. This antibody does not crossreact with any other cell types.

Catalog No. 50-240-7472


May include imposed supplier surcharges.
Only null left
Add to Cart

Product Title
Select an issue

By clicking Submit, you acknowledge that you may be contacted by Fisher Scientific in regards to the feedback you have provided in this form. We will not share your information for any other purposes. All contact information provided shall also be maintained in accordance with our Privacy Policy.