Promotional price valid on web orders only. Your contract pricing may differ. Interested in signing up for a dedicated account number?
Learn More

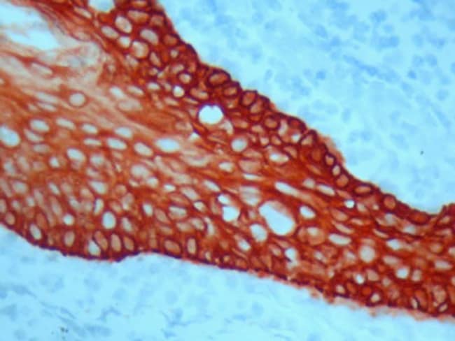
Diagnostic Biosystems MONO AEC/PLUS Mono AEC/Plus

Supplier:  Diagnostic Biosystems K050110

Encompass_Preferred

Mono AEC/Plus is a single, highly stable, working AEC chromogen/substrate liquid solution. When used in conjunction with immunoperoxidase staining, AEC produces a red colored end product at the positive sites, yielding strong contrast when combined with a blue hematoxylin counter stain. AEC has been well accepted amongst pathologists because of its relatively less toxic nature as compared to DAB. Specimens stained using Mono AEC/Plus cannot be dehydrated in ethanol and hence need to be mounted in an aqueous-based mounting medium such as CC Mount (DBS catalog # K002).

Catalog No. 50-240-7627


May include imposed supplier surcharges.
Only null left
Add to Cart

Product Title
Select an issue

By clicking Submit, you acknowledge that you may be contacted by Fisher Scientific in regards to the feedback you have provided in this form. We will not share your information for any other purposes. All contact information provided shall also be maintained in accordance with our Privacy Policy.