Promotional price valid on web orders only. Your contract pricing may differ. Interested in signing up for a dedicated account number?
Learn More

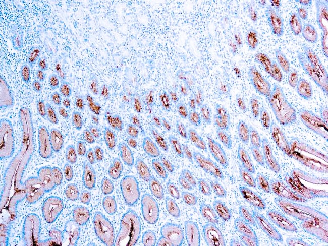
Diagnostic Biosystems MUCIN 5AC Mucin 5AC/Gastric Mucin

Supplier:  Diagnostic Biosystems PDM163

Encompass_Preferred

This antibody reacts with a 1000 kDa protein and recognizesthe peptide core of gastric mucin M1. Mucins are high molecular weight glycoproteins with 80% carbohydrates and 20% core protein. Gastric mucin M1 antigen is found in columnar mucus cells of surface gastric epithelium and in goblet cells of the fetal and precancerous colon but not in normal colon. Resurgence of gastric mucin during colonic carcinogenesis is suggestive of either reexpression of the peptide core of gastric mucin in the adult colon or changes in the glycosylation pattern of mucin, which expose the hidden M1 antigen.

Catalog No. 50-240-7623


May include imposed supplier surcharges.
Only null left
Add to Cart

Product Title
Select an issue

By clicking Submit, you acknowledge that you may be contacted by Fisher Scientific in regards to the feedback you have provided in this form. We will not share your information for any other purposes. All contact information provided shall also be maintained in accordance with our Privacy Policy.