Promotional price valid on web orders only. Your contract pricing may differ. Interested in signing up for a dedicated account number?
Learn More

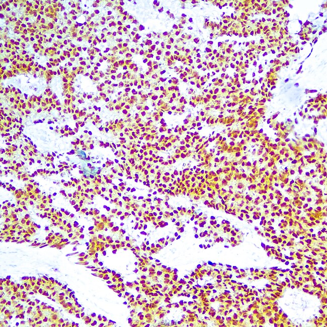
Diagnostic Biosystems OCT 3/4 OCT-3/4 (OCT4/6847R)

Supplier:  Diagnostic Biosystems RMPD11310

Encompass_Preferred

OCT-3/4 (also known as POU5F1) is a transcription factor that has been recognized as fundamental in the maintenance of pluripotency in embryonic stem cells and primordial germ cells. It has been proposed as a useful marker for germ cell tumors (GCT) that exhibit features of pluripotentiality (seminoma/dysgerminoma, germinoma and embryonal carcinoma. OCT-3/4 immunostaining has been shown to be sensitive and specific for GCT, whether in primary gonadal or extragonadal sites or in metastatic lesions.

Catalog No. 50-240-7571


May include imposed supplier surcharges.
Only null left
Add to Cart

Product Title
Select an issue

By clicking Submit, you acknowledge that you may be contacted by Fisher Scientific in regards to the feedback you have provided in this form. We will not share your information for any other purposes. All contact information provided shall also be maintained in accordance with our Privacy Policy.