Promotional price valid on web orders only. Your contract pricing may differ. Interested in signing up for a dedicated account number?
Learn More

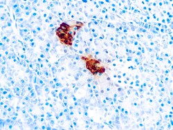
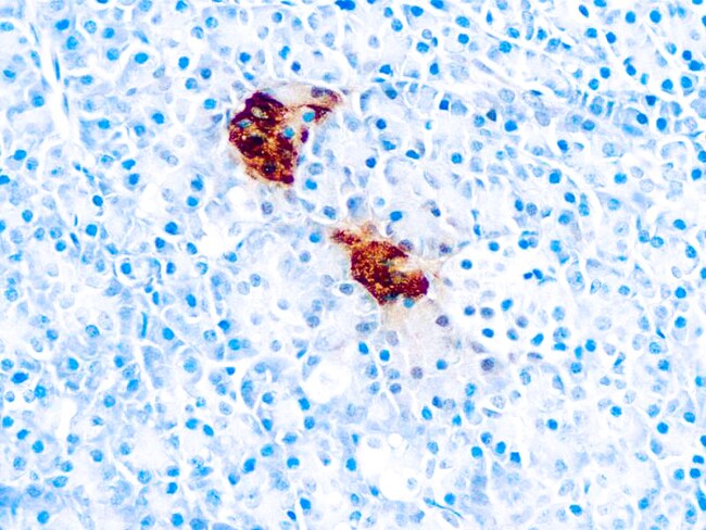
Diagnostic Biosystems PANCREATIC POLYPEPTIDE Pancreatic Polypeptide

Supplier:  Diagnostic Biosystems RP030

Encompass_Preferred

This antibody reacts with pancreatic polypeptide. It stains the periphery of islets, exocrine pancreatic parenchyma and the epithelium of small and medium sized ducts and acinar cells.

Catalog No. 50-238-5456


May include imposed supplier surcharges.
Only null left
Add to Cart

Product Title
Select an issue

By clicking Submit, you acknowledge that you may be contacted by Fisher Scientific in regards to the feedback you have provided in this form. We will not share your information for any other purposes. All contact information provided shall also be maintained in accordance with our Privacy Policy.