Learn More
Aviva Systems Biology Corp SLC38A3 Antibody - N-terminal region (ARP42323_P050) | 100uL

Supplier: Aviva Systems Biology Corp ARP42323_P050

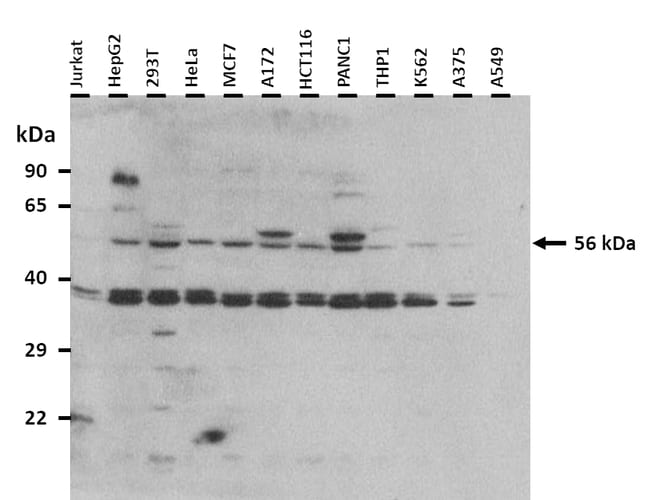
This is a rabbit polyclonal antibody against SLC38A3. It was validated on Western Blot using a cell lysate as a positive control.The immunogen is a synthetic peptide directed towards the N terminal region of human SLC38A3. Alternate names: G17, SN1, NAT1ApplicationIHC, WB. Species reactivity: Cow, Dog, Guinea Pig, Horse, Human, Mouse, Pig, Rabbit, Rat, Sheep
The Fisher Scientific Encompass Program offers items which are not part of our distribution portfolio. These products typically do not have pictures or detailed descriptions. However, we are committed to improving your shopping experience. Please use the form below to provide feedback related to the content on this product.