Promotional price valid on web orders only. Your contract pricing may differ. Interested in signing up for a dedicated account number?
Learn More

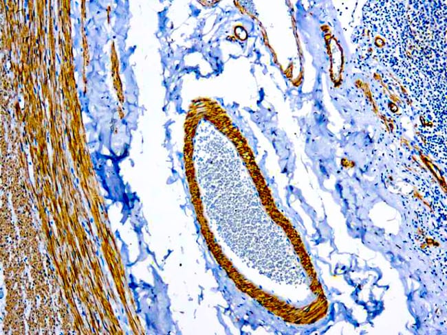
Diagnostic Biosystems SMOOTH MUSCLE MYOSIN Smooth Muscle Myosin (SMMS-1)

Supplier:  Diagnostic Biosystems PDM175

Encompass_Preferred

Smooth muscle myosin heavy chain (SM-MHC) is a cytoplasmic structural protein which is a major component of the contractile apparatus in smooth muscle cells. Expression of smooth muscle myosin is developmentally regulated, appearing early in smooth muscle development, and is specific for smooth muscle development. Two isoforms of smooth muscle myosin heavy chain have been identified, designated MHC-1 and MHC-2, they are differentially expressed depending on the functional activity of the muscle.\nThe antibody may be useful for the study of breast tumors as the presence of an intact layer of myoepithelial cells is an important feature, which may distinguish benign breast lesions and carcinoma in situ from invasive tumors

Catalog No. 50-240-7420


May include imposed supplier surcharges.
Only null left
Add to Cart

Product Title
Select an issue

By clicking Submit, you acknowledge that you may be contacted by Fisher Scientific in regards to the feedback you have provided in this form. We will not share your information for any other purposes. All contact information provided shall also be maintained in accordance with our Privacy Policy.