Learn More
Biocare Medical, LLC SOX10 Antibody - Concentrate, 1.0 ml

Supplier: Biocare Medical, LLC ACI3099C
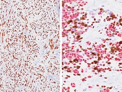
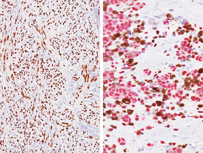
The SOX10 protein is widely expressed in normal human tissues including melanocytes and breast tissue. It is also an important marker in malignant tumors such as melanoma, breast carcinoma, gliomas and benign tumors such as schwannomas. SOX10 antibody has been shown to be expressed in 97-100% of desmoplastic and spindle cell melanomas and was also shown to be expressed in 100% of nevi. The majority of oligodendrogliomas but also a large percentage of astrocytomas and poorly differentiated glioblastomas have also been shown to express SOX10. PATENT PENDING.[message_box bg="#005581"]
By clicking Submit, you acknowledge that you may be contacted by Fisher Scientific in regards to the feedback you have provided in this form. We will not share your information for any other purposes. All contact information provided shall also be maintained in accordance with our Privacy Policy.