Promotional price valid on web orders only. Your contract pricing may differ. Interested in signing up for a dedicated account number?
Learn More

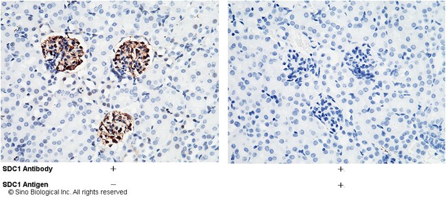
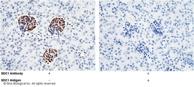
Sino Biological Anti-Syndecan-1/CD138 Antibody, Rabbit Polyclonal

Supplier:  Sino Biological 50641RP02100

Encompass_Preferred

Produced in rabbits immunized with purified, recombinant Mouse Syndecan-1 / SDC1 / CD138 (rM Syndecan-1 / SDC1 / CD138; Catalog#50641-M08H; NP_035649.1; Met 1-Glu 252). Syndecan-1 / SDC1 / CD138 specific IgG was purified by Mouse Syndecan-1 / SDC1 / CD138 affinity chromatography.

Catalog No. NC1392784


May include imposed supplier surcharges.
Only null left
Add to Cart

Product Title
Select an issue

By clicking Submit, you acknowledge that you may be contacted by Fisher Scientific in regards to the feedback you have provided in this form. We will not share your information for any other purposes. All contact information provided shall also be maintained in accordance with our Privacy Policy.