Promotional price valid on web orders only. Your contract pricing may differ. Interested in signing up for a dedicated account number?
Learn More

Leica Biosystems 1ml NCL-L-TYROS

Supplier:  Leica Biosystems TYROSLU

Encompass

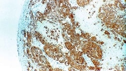
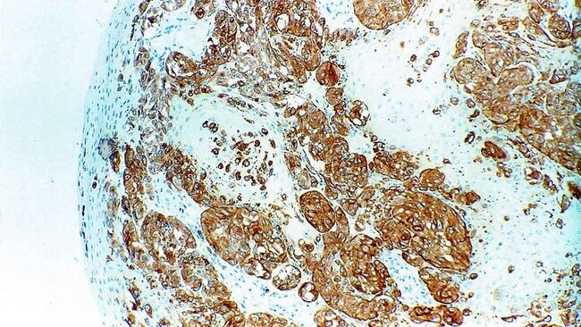
Antigen Background The biosynthesis of melanin in melanocytes involves a family of enzymes, a key member of which is tyrosinase. Tyrosinase deficiency is associated with various forms of albinism and in particular oculocutaneous albinism. L-tyrosinase is the initial substrate for melanin biosynthesis and its conversion to dopaquinone is catalyzed by tyrosinase, whose expression is reported in melanocytes and melanomas. Disclaimer Tyrosinase is recommended for the detection of specific antigens of interest in normal and neoplastic tissues, as an adjunct to conventional histopathology using non-immunologic histochemical stains.

Catalog No. 50-255-1953


May include imposed supplier surcharges.
Only null left
Add to Cart
This item is not returnable. View return policy

Product Content Correction

The Fisher Scientific Encompass Program offers items which are not part of our distribution portfolio. These products typically do not have pictures or detailed descriptions. However, we are committed to improving your shopping experience. Please use the form below to provide feedback related to the content on this product.

Product Title

By clicking Submit, you acknowledge that you may be contacted by Fisher Scientific in regards to the feedback you have provided in this form. We will not share your information for any other purposes. All contact information provided shall also be maintained in accordance with our Privacy Policy.

Your feedback has been submitted: Thank you for helping us improve our website.