Learn More
Leica Biosystems 7ml CEA Bond RTU Primary
Supplier: Leica Biosystems PA0004

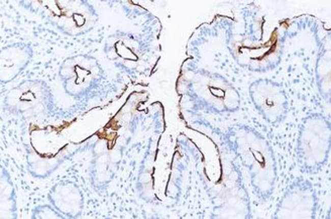
Antigen BackgroundCD66a antigen, also known as biliary glycoprotein (BGP), is a member of the carcinoembryonic antigen (CEA) family and of the immunoglobulin super-family. CD66a, CD66b, CD66c and CD66d are known to be expressed by hematopoietic cells. CD66a antigen is also expressed in epithelia, in certain endothelia and in cells of the myeloid lineage. In liver, expression occurs in hepatocytes along the bile canaliculi. Apical membranous expression of the antigen is reported to occur in enterocytes, superficial absorptive cells of the colon, epithelia of oesophageal and Brunner's glands, bile ducts and gall bladder, pancreatic ducts, proximal tubules of the kidney, prostate, endometrium and mammary ducts.
Description

The Fisher Scientific Encompass Program offers items which are not part of our distribution portfolio. These products typically do not have pictures or detailed descriptions. However, we are committed to improving your shopping experience. Please use the form below to provide feedback related to the content on this product.