Learn More
Invitrogen™ ABCB5 Polyclonal Antibody

Description
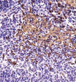
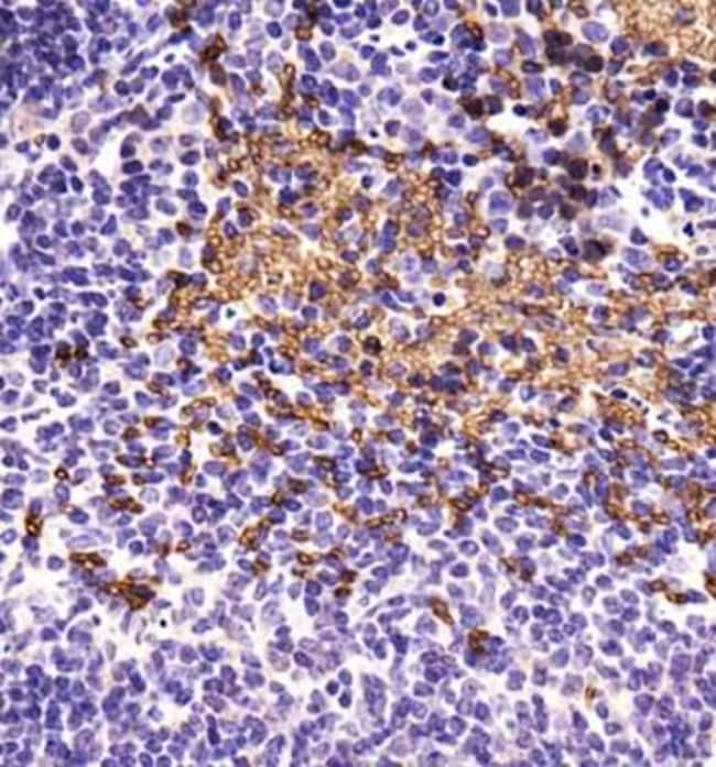
ABCB5 Polyclonal Antibody for IHC (P), ICC/IF
Specifications
Specifications
| Antigen | ABCB5 |
| Applications | Immunohistochemistry (Paraffin), Immunocytochemistry |
| Classification | Polyclonal |
| Concentration | 1 mg/mL |
| Conjugate | Unconjugated |
| Formulation | PBS with 30% glycerol and 0.05% sodium azide |
| Gene | ABCB5 |
| Gene Accession No. | B5X0E4, Q2M3G0 |
| Gene Alias | 9230106F14Rik; ABCB5; ABCB5 P-gp; ABCB5alpha; ABCB5beta; ATP binding cassette subfamily B member 5; ATP-binding cassette protein; ATP-binding cassette sub-family B member 5; ATP-binding cassette, subfamily B (MDR/TAP), member 5; ATP-binding cassette, sub-family B (MDR/TAP), member 5; EST422562; P-glycoprotein ABCB5; RGD1566342 |
| Gene Symbols | ABCB5 |
| Show More |
By clicking Submit, you acknowledge that you may be contacted by Fisher Scientific in regards to the feedback you have provided in this form. We will not share your information for any other purposes. All contact information provided shall also be maintained in accordance with our Privacy Policy.