Promotional price valid on web orders only. Your contract pricing may differ. Interested in signing up for a dedicated account number?
Learn More
Learn More
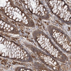
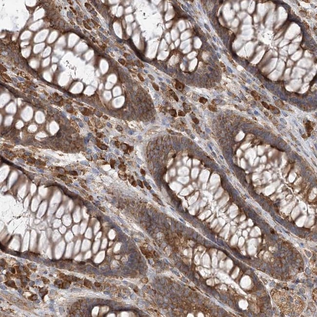
Invitrogen™ ACAP2 Polyclonal Antibody

Rabbit Polyclonal Antibody
Supplier: Invitrogen™ PA557069
Description
Immunogen sequence: LCIAMIDTGK AFCVANKQFM NGIRDLAQYS SNDAVVETSL TKFSDSLQEM INFHTILFDQ TQRSIKAQLQ NFVKE Highest antigen sequence identity to the following orthologs: Mouse - 100%, Rat - 99%.
ACAP2 is a transport carrier belonging to the Centaurin family with three ANK repeats, an Arf-GAP domain, a BAR domain, and a PH domain. ACAP2, a GTPase-activating protein (GAP) for ADP ribosylation factor 6 (ARF6) has robust constitutive ARF6 GAP activity, where the GAP activity is stimulated by phosphatidylinositol 4,5-bisphosphate (PIP2) and phosphatidic acid but has little activity toward ARF1 and is known to control the return of ARF to the inactive GDB-bound shots. ACAP2, along with ACAP1, is targeted by phosphatidyl inositol (3, 4, 3) triphosphate inhibiting the formation of PDGF-induced dorsal membrane ruffles in NIH3T3 fibroblasts when overexpressed. ACAP2 is phosphorylated upon DNA damage, probably by ATM or ATR. Expression is wide-spread with the highest level in lung.
Specifications
ACAP2 | |
Polyclonal | |
Unconjugated | |
ACAP2 | |
4832442G16; 9530039J15Rik; ACAP2; Arf GAP with coiled coil, ANK repeat and PH domains 2; arf-GAP with coiled-coil, ANK repeat and PH domain-containing protein 2; ArfGAP with coiled-coil, ankyrin repeat and PH domains 2; centaurin beta2; centaurin, beta 2; centaurin-beta-2; Centb2; CNT-B2; KIAA0041; mKIAA0041 | |
Rabbit | |
Antigen Affinity Chromatography | |
RUO | |
23527 | |
Store at 4°C short term. For long term storage, store at -20°C, avoiding freeze/thaw cycles. | |
Liquid |
Immunohistochemistry (Paraffin), Immunocytochemistry | |
0.05 mg/mL | |
PBS with 40% glycerol and 0.02% sodium azide; pH 7.2 | |
Q15057 | |
ACAP2 | |
Recombinant protein corresponding to Human ACAP2. Recombinant protein control fragment (Product #RP-96299). | |
100 μL | |
Primary | |
Human | |
Antibody | |
IgG |
Product Content Correction
Your input is important to us. Please complete this form to provide feedback related to the content on this product.
Product Title
Spot an opportunity for improvement?Share a Content Correction