Learn More
Invitrogen™ ACAT1 Polyclonal Antibody

Description
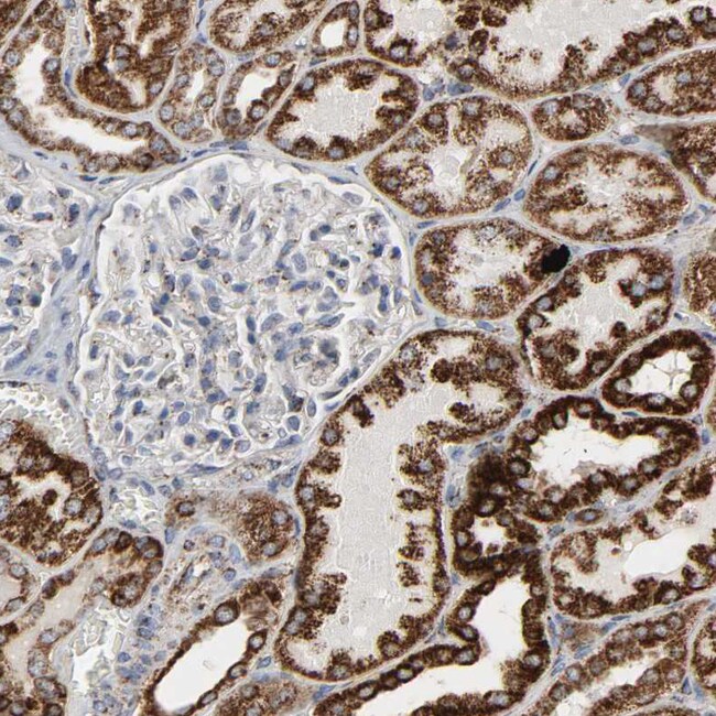
Immunogen sequence: VSATRTPIGS FLGSLSLLPA TKLGSIAIQG AIEKAGIPKE EVKEAYMGNV LQGGEGQAPT RQAVLGAGLP ISTPCTTINK VCASGMKAIM MASQSLMCGH QDVMVAGGME SMSNVPYVMN RGSTPYGGVK LEDLIVKDGL TD Highest antigen sequence indentity to the following orthologs: Mouse - 92%, Rat - 92%.
Specifications
Specifications
| Antigen | ACAT1 |
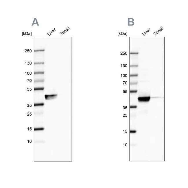
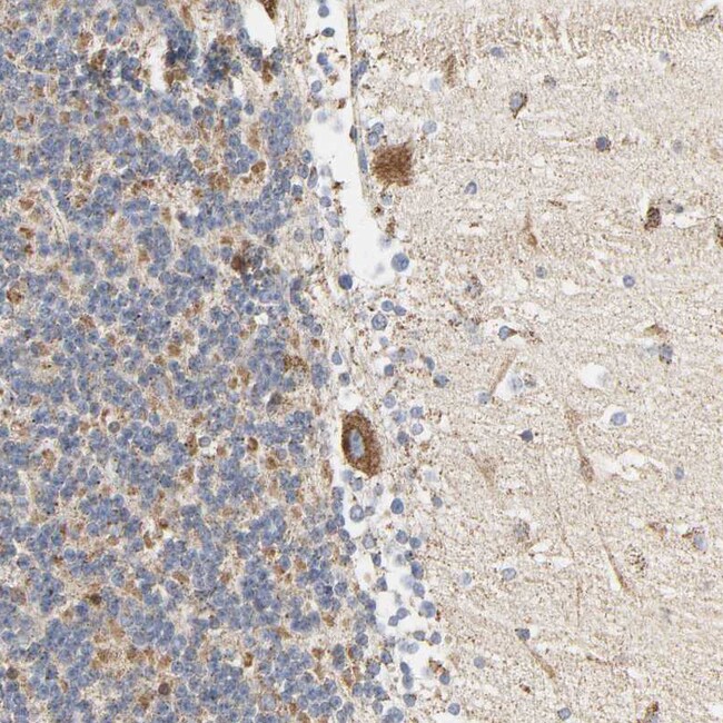
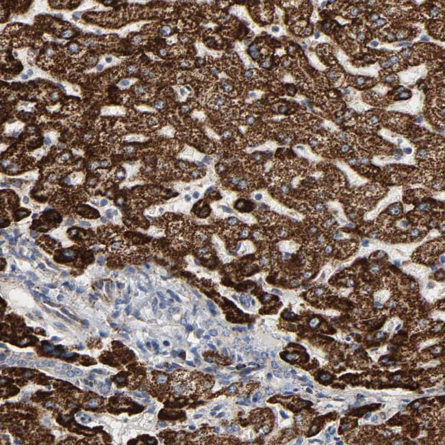
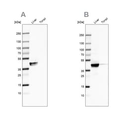
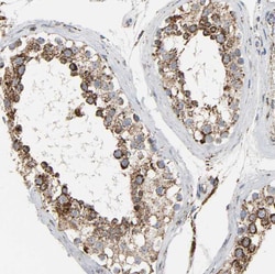
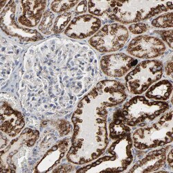
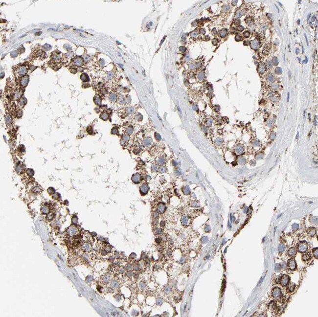
| Applications | Immunohistochemistry (Paraffin), Western Blot, Immunocytochemistry |
| Classification | Polyclonal |
| Concentration | 0.1 mg/mL |
| Conjugate | Unconjugated |
| Formulation | PBS with 40% glycerol and 0.02% sodium azide; pH 7.2 |
| Gene | Acat1 |
| Gene Accession No. | P17764, P24752, Q8QZT1 |
| Gene Alias | 6330585C21Rik; Acat; Acat1; acetoacetyl Coenzyme A thiolase; acetoacetyl-CoA thiolase; acetyl-Co A acetyltransferase 1 mitochondrial; acetyl-CoA acetyltransferase 1; acetyl-CoA acetyltransferase, mitochondrial; acetyl-Coenzyme A acetyltransferase 1; MAT; mitochondrial acetoacetyl-CoA thiolase; RATACAL; T2; testicular tissue protein Li 198; THIL |
| Gene Symbols | Acat1 |
| Show More |
By clicking Submit, you acknowledge that you may be contacted by Fisher Scientific in regards to the feedback you have provided in this form. We will not share your information for any other purposes. All contact information provided shall also be maintained in accordance with our Privacy Policy.