Promotional price valid on web orders only. Your contract pricing may differ. Interested in signing up for a dedicated account number?
Learn More
Learn More
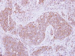
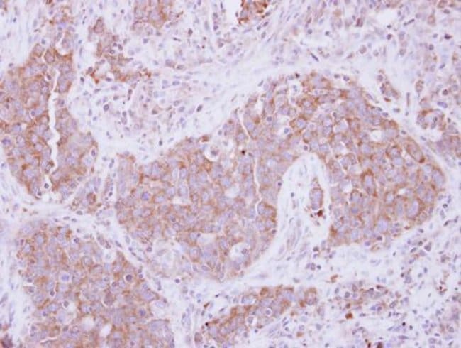
Invitrogen™ ADAM10 Polyclonal Antibody

Rabbit Polyclonal Antibody
Supplier: Invitrogen™ PA528161
Description
Recommended positive controls: THP-1. Predicted reactivity: Mouse (93%), Rat (94%), Xenopus laevis (89%), Pig (98%), Chicken (89%), Bovine (97%). Store product as a concentrated solution. Centrifuge briefly prior to opening the vial.
Proinflammatory cytokine tumor necrosis factor-a (TNF-a) contributes to a variety of inflammatory responses and programmed cell death. Notch receptor and its ligand participate in cell fate decisions during vertebrate development and are associated with several human disorders, including a T-cell lymphoma. TNF-a, notch and its ligand delta are all membrane-bond molecules, which are cleaved by proteases to release mature proteins or functional receptor. ADAM10, a metalloprotease-disintegrin in the family of mammalian ADAM (for a disintegrin and metalloprotease), was recently identified to cleave TNF-a, notch and its ligand delta (1-3). The genes encoding human, mouse, and bovine ADAM10 were recently cloned and designated ADAM 10, kuzbanian (KUZ), and MADM, respectively. ADAM10 mRNA is expressed in a variety of human and bovine tissues.
Specifications
| ADAM10 | |
| Polyclonal | |
| Unconjugated | |
| Adam10 | |
| 1700031C13Rik; a disintegrin and metallopeptidase domain 10; a disintegrin and metalloprotease domain (ADAM) 10; a disintegrin and metalloprotease domain 10; a disintegrin and metalloproteinase; AD10; AD18; ADAM; ADAM 10; ADAM metallopeptidase domain 10; ADAM10; ADAMs; CD156c; CDw156; Disintegrin and metalloproteinase domain-containing protein 10; HsT18717; KUZ; kuzbanian; kuzbanian protein homolog; MADM; Mammalian disintegrin-metalloprotease; metalloendopeptidases; metalloproteinase; myelin-associated metalloproteinase; RAK | |
| Rabbit | |
| Antigen affinity chromatography | |
| RUO | |
| 102, 11487 | |
| Store at 4°C short term. For long term storage, store at -20°C, avoiding freeze/thaw cycles. | |
| Liquid |
| Immunohistochemistry (Paraffin), Western Blot, Immunocytochemistry | |
| 1.65 mg/mL | |
| PBS with 20% glycerol and 0.025% ProClin 300; pH 7 | |
| O14672, O35598 | |
| Adam10 | |
| Recombinant protein encompassing a sequence within the Extracellular domain of human ADAM10. The exact sequence is proprietary. | |
| 100 μL | |
| Primary | |
| Human, Mouse | |
| Antibody | |
| IgG |
Safety and Handling
WARNING: Cancer - www.P65Warnings.ca.gov
Product Content Correction
Your input is important to us. Please complete this form to provide feedback related to the content on this product.
Product Title
Spot an opportunity for improvement?Share a Content Correction