Promotional price valid on web orders only. Your contract pricing may differ. Interested in signing up for a dedicated account number?
Learn More
Learn More
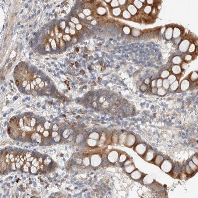
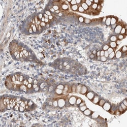
Invitrogen™ Adenylate Cyclase 8 Polyclonal Antibody

Rabbit Polyclonal Antibody
Supplier: Invitrogen™ PA555041
Description
Immunogen sequence: DRRNSGATFT EGSWSPELPF DNIVGKQNTL AALTRNSINL LPNHLAQALH VQSGPEEINK RIEHTIDLRS GDKLRREHIK PFSLMF Highest antigen sequence identity to the following orthologs: Mouse - 100%, Rat - 100%.
Adenylate cyclase is a membrane bound enzyme that catalyses the formation of cyclic AMP from ATP. The enzymatic activity is under the control of several hormones, and different polypeptides participate in the transduction of the signal from the receptor to the catalytic moiety. Stimulatory or inhibitory receptors (Rs and Ri) interact with G proteins (Gs and Gi) that exhibit GTPase activity and they modulate the activity of the catalytic subunit of the adenylyl cyclase.
Specifications
Adenylate Cyclase 8 | |
Polyclonal | |
Unconjugated | |
Adcy8 | |
AC8; ADCY3; ADCY8; adenylate cyclase 8; adenylate cyclase 8 (brain); adenylate cyclase type 8; Adenylate cyclase type VIII; adenylyl cyclase 8; adenylyl cyclase-8, brain; ATP pyrophosphate-lyase 8; AW060868; ca(2+)/calmodulin-activated adenylyl cyclase; epididymis secretory sperm binding protein Li 172mP; HBAC1; HEL-S-172mP; type VIII adenylyl cyclase | |
Rabbit | |
Antigen affinity chromatography | |
RUO | |
114 | |
Store at 4°C short term. For long term storage, store at -20°C, avoiding freeze/thaw cycles. | |
Liquid |
Immunohistochemistry (Paraffin) | |
0.1 mg/mL | |
PBS with 40% glycerol and 0.02% sodium azide; pH 7.2 | |
P40145 | |
Adcy8 | |
Recombinant protein corresponding to Human Adenylate Cyclase 8. Recombinant protein control fragment (Product #RP-93838). | |
100 μL | |
Primary | |
Human | |
Antibody | |
IgG |
Safety and Handling
WARNING: Cancer - www.P65Warnings.ca.gov
Product Content Correction
Your input is important to us. Please complete this form to provide feedback related to the content on this product.
Product Title
Spot an opportunity for improvement?Share a Content Correction