Promotional price valid on web orders only. Your contract pricing may differ. Interested in signing up for a dedicated account number?
Learn More
Learn More
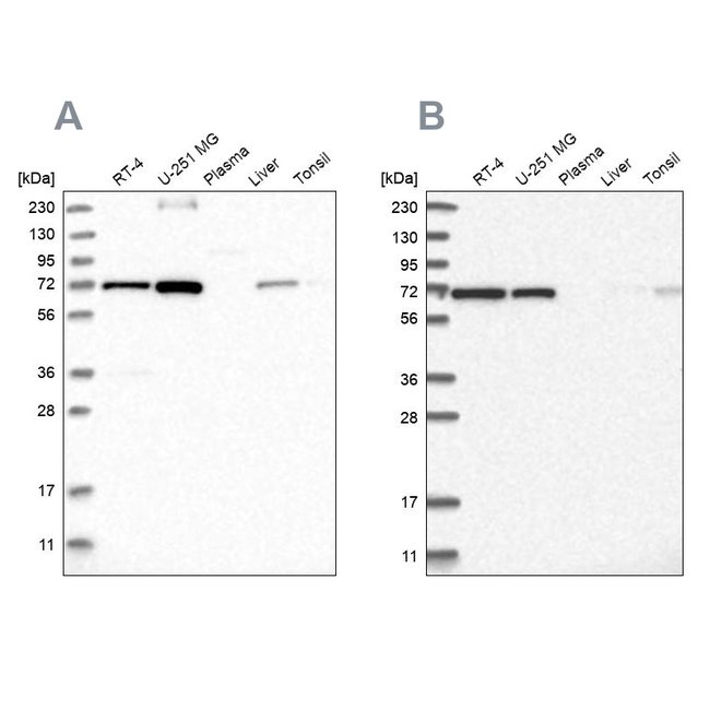
Invitrogen™ AGPS Polyclonal Antibody

Rabbit Polyclonal Antibody
Supplier: Invitrogen™ PA556400
Description
Immunogen sequence: KERITRECKE KGVQFAPFST CRVTQTYDAG ACIYFYFAFN YRGISDPLTV FEQTEAAARE EILANGGSLS HHHGVGKLRK QWLKESISDV GFGMLKS Highest antigen sequence identity to the following orthologs: Mouse - 95%, Rat - 96%.
This gene is a member of the FAD-binding oxidoreductase/transferase type 4 family. It encodes a protein that catalyzes the second step of ether lipid biosynthesis in which acyl-dihydroxyacetonephosphate (DHAP) is converted to alkyl-DHAP by the addition of a long chain alcohol and the removal of a long-chain acid anion. The protein is localized to the inner aspect of the peroxisomal membrane and requires FAD as a cofactor. Mutations in this gene have been associated with rhizomelic chondrodysplasia punctata, type 3 and Zellweger syndrome.
Specifications
| AGPS | |
| Polyclonal | |
| Unconjugated | |
| AGPS | |
| 5832437L22; 9930035G10Rik; AAG5; Adaps; Adap-s; ADAS; Adhaps; ADPS; Ads; Aging-associated gene 5 protein; aging-associated protein 5; AGPS; ALDHPSY; alkyl-DHAP synthase; alkyldihydroxyacetone phosphate synthase; alkyl-dihydroxyacetonephosphate synthase; alkyldihydroxyacetonephosphate synthase, peroxisomal; alkylglycerone phosphate synthase; alkylglycerone phosphate synthase-like; alkylglycerone-phosphate synthase; AW123847; bs2; RCDP3 | |
| Rabbit | |
| Antigen affinity chromatography | |
| RUO | |
| 8540 | |
| Store at 4°C short term. For long term storage, store at -20°C, avoiding freeze/thaw cycles. | |
| Liquid |
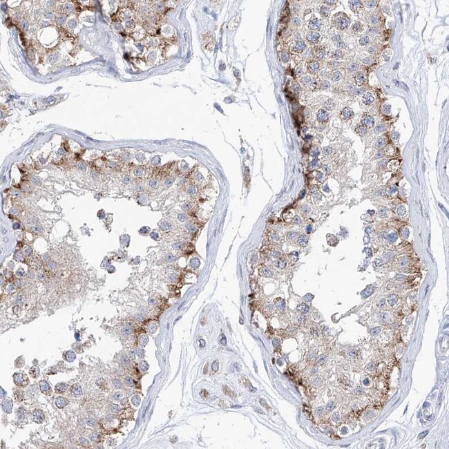
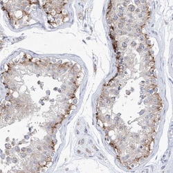
| Immunohistochemistry (Paraffin), Western Blot, Immunocytochemistry | |
| 0.2 mg/mL | |
| PBS with 40% glycerol and 0.02% sodium azide; pH 7.2 | |
| O00116 | |
| AGPS | |
| Recombinant protein corresponding to Human AGPS. Recombinant protein control fragment (Product #RP-95954). | |
| 100 μL | |
| Primary | |
| Human | |
| Antibody | |
| IgG |
Product Content Correction
Your input is important to us. Please complete this form to provide feedback related to the content on this product.
Product Title
Spot an opportunity for improvement?Share a Content Correction