Promotional price valid on web orders only. Your contract pricing may differ. Interested in signing up for a dedicated account number?
Learn More

AKAP1 Rabbit anti-Human, Polyclonal, Bethyl Laboratories

Rabbit Polyclonal Antibody

Supplier:  Bethyl Laboratories, Inc A301380A

Encompass_Preferred

Catalog No. 50-156-0234


May include imposed supplier surcharges.
Only null left
Add to Cart

Description

Description

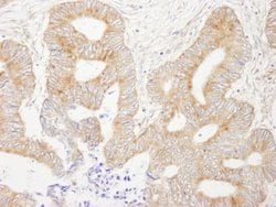
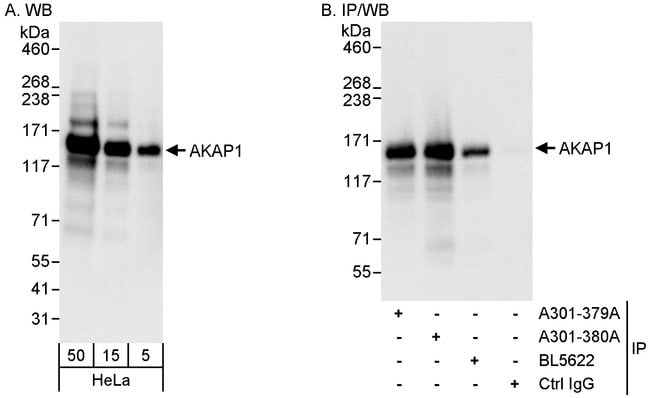
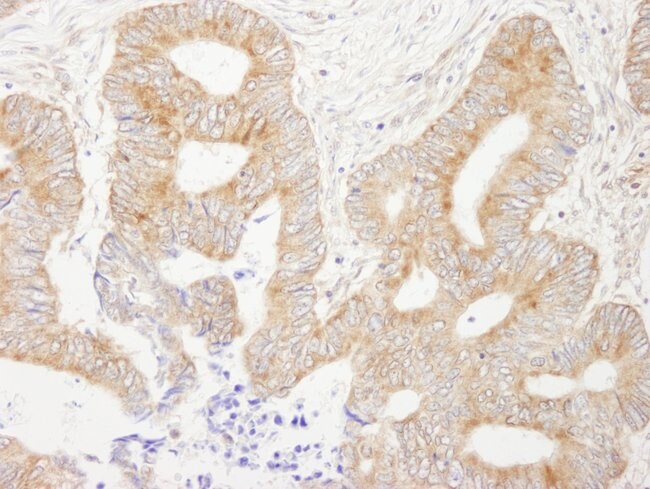
The recommended shelf life for this product is 1 year from date of receipt. Application Note: For IHC, epitope retrieval with citrate buffer pH 6.0 is recommended for FFPE tissue sections.

The A-kinase anchor proteins (AKAPs) are a group of structurally diverse proteins, which have the common function of binding to the regulatory subunit of protein kinase A (PKA) and confining the holoenzyme to discrete locations within the cell. This gene encodes a member of the AKAP family. The encoded protein binds to type I and type II regulatory subunits of PKA and anchors them to the mitochondrion. This protein is speculated to be involved in the cAMP-dependent signal transduction pathway and in directing RNA to a specific cellular compartment.
Specifications

Specifications

AKAP1
Polyclonal
Unconjugated
AKAP1
AKAP, AKAP121, AKAP149, AKAP84, D-AKAP1, PPP1R43, PRKA1, SAKAP84, A-kinase anchor protein 1, mitochondrial, A-kinase anchor protein 149 kDa, AKAP 149, D-AKAP-1, dual-specificity A-kinase anchoring protein 1, protein kinase A anchoring protein 1, protein kinase A1, protein phosphatase 1, regulatory subunit 43, spermatid A-kinase
Rabbit
Antigen affinity chromatography
RUO
8165
4° C
Liquid
Immunohistochemistry, Immunoprecipitation, Western Blot
0.2 mg/ml
TBS with 0.1% BSA and 0.09% sodium azide
Q92667
AKAP1
Between 450 and 500
100 μL
Primary
Human
Antibody
IgG
Product Suggestions

Product Suggestions

Videos
SDS
Documents

Documents

Product Certifications
Promotions

Promotions

Product Content Correction

The Fisher Scientific Encompass Program offers items which are not part of our distribution portfolio. These products typically do not have pictures or detailed descriptions. However, we are committed to improving your shopping experience. Please use the form below to provide feedback related to the content on this product.

Product Title

By clicking Submit, you acknowledge that you may be contacted by Fisher Scientific in regards to the feedback you have provided in this form. We will not share your information for any other purposes. All contact information provided shall also be maintained in accordance with our Privacy Policy.

Your feedback has been submitted: Thank you for helping us improve our website.